2006 DPDx Case Studies
DPDx Case Studies – 2006
December 2006
November 2006
October 2006
September 2006
August 2006
July 2006
June 2006
May 2006

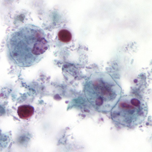
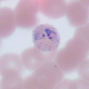
A 27-year-old woman who had been working in Laos, Thailand, and Vietnam for one and a half years was visiting relatives in the U.S. While she was in the U.S., she visited a physician for recurring abdominal discomfort, bloating, and frequent bowel movements that she had experienced over the last two months.
April 2006
March 2006
February 2006
January 2006
DPDx is an educational resource designed for health professionals and laboratory scientists. For an overview including prevention, control, and treatment visit www.cy118119.com/parasites/.
Page last reviewed: June 20, 2022
Content source: Global Health, Division of Parasitic Diseases and Malaria






















