2005 DPDx Case Studies
DPDx Case Studies – 2005
December 2005
November 2005

A 45-year-old woman went to her physician with complaints of recurring abdominal cramping, bloating, and infrequent diarrhea. Her travel history included a 10-day camping trip in Alaska, and her symptoms had started approximately 2 weeks after her return. Her physician ordered an ova and parasites (O & P) examination.
October 2005

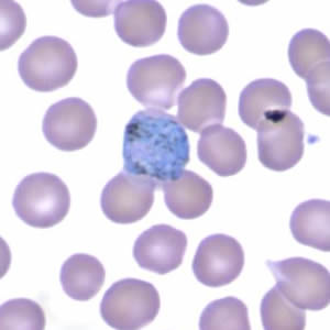
A woman went to a local emergency room due to fevers and chills. She reported that she had traveled abroad to Burma and Thailand recently for three weeks. When she traveled abroad previously, she had taken malaria prophylaxis that she received from a travel clinic, but she had not returned to the clinic before her most recent trip.
September 2005

A 42-year-old animal trapper sought medical attention regarding an ulcerative lesion on his arm (Figure A). He reported that he had been in Bolivia two months ago and that the lesion on his arm had grown worse since his return. A biopsy of the lesion on his arm was performed and a touch prep smear prepared and stained with Giemsa.

A 45-year-old man was admitted to a local emergency room in a comatose state after apparently having a heart attack. The man never regained consciousness and expired the next day. His patient history, gathered from his wife, included high blood pressure and high cholesterol levels as well as complaints of abdominal pain, intermittent diarrhea, noticeable weight loss, frequent headaches, and occasional shortness of breath for the past 5 months.
August 2005
July 2005
June 2005
May 2005
April 2005
March 2005
February 2005
January 2005
DPDx is an educational resource designed for health professionals and laboratory scientists. For an overview including prevention, control, and treatment visit www.cy118119.com/parasites/.



















