Case #178 – April, 2006
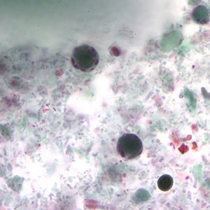
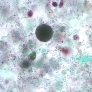
A 29-year-old man went to a local health clinic with complaints of intermittent diarrhea for a few months. He did not report any other symptoms but said he had difficulty sleeping sometimes. A stool specimen was collected and preserved in both 10% formalin and polyvinyl-alcohol (PVA). An ova and parasite (O & P) examination was performed. Figure A shows what was seen on a concentrated wet mount preparation, and Figure B shows what was seen on a wet mount stained with iodine. Figures C and D show what was seen on a trichrome stained smear made from the PVA preserved specimen. Objects measured 7 to 10 µm in diameter. What is your diagnosis? Based on what criteria?

Figure A

Figure B

Figure C

Figure D
Images presented in the DPDx case studies are from specimens submitted for diagnosis or archiving. On rare occasions, clinical histories given may be partly fictitious.
DPDx is an educational resource designed for health professionals and laboratory scientists. For an overview including prevention, control, and treatment visit www.cy118119.com/parasites/.