Case #190 – October, 2006
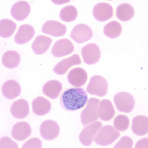
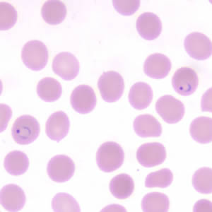
The DPDx Team received a telediagnosis request asking for confirmation of an identification made by the Wisconsin State Laboratory of Hygiene. The patient had a travel history to India. Figures A and B show objects seen on the thick blood smears stained with Wright-Giemsa. Figures C-G were taken from the thin smears. What is your diagnosis? Based on what criteria?

Figure A

Figure B

Figure C

Figure D

Figure E

Figure F

Figure G
The images in this case were kindly contributed by the Wisconsin State Laboratory of Hygiene.
Images presented in the DPDx case studies are from specimens submitted for diagnosis or archiving. On rare occasions, clinical histories given may be partly fictitious.
DPDx is an educational resource designed for health professionals and laboratory scientists. For an overview including prevention, control, and treatment visit www.cy118119.com/parasites/.