Case #171 – January, 2006
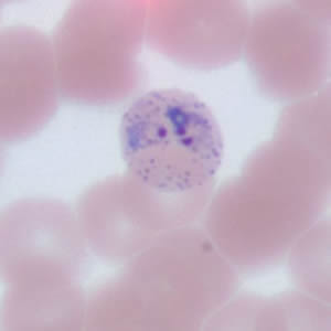
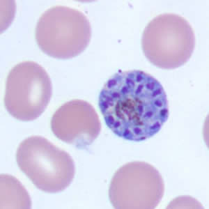
Recently DPDx telediagnosis inquiries received a request for assistance from the Medical College of Wisconsin. Images from a thin blood smear were submitted along with the patient’s history of traveling to Honduras. Figures A-E show what was seen on the thin blood film. What is your diagnosis? Based on what criteria?

Figure A

Figure B

Figure C

Figure D
This case and images were kindly contributed by the Medical College of Wisconsin.
Images presented in the DPDx case studies are from specimens submitted for diagnosis or archiving. On rare occasions, clinical histories given may be partly fictitious.
DPDx is an educational resource designed for health professionals and laboratory scientists. For an overview including prevention, control, and treatment visit www.cy118119.com/parasites/.