Case #166 – October, 2005
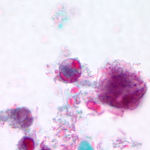
A 13-year-old boy was seen by his pediatrician for watery diarrhea, abdominal cramping, and low-grade fever that had persisted for 3 days. His symptoms began approximately 5 days after returning from a summer camp trip to a petting zoo. The physician ordered an ova and parasites (O & P) exam. The lab personnel followed their typical O & P procedure by performing an FEA concentration from formalin preserved stool and making wet mounts, and using PVA preserved stool to make trichrome stained smears. Figures A and B show objects seen in low numbers on a wet mount (A) and the trichrome stained smear (B). The round objects measured an average of 5 micrometers in diameter. The laboratory reported a presumed diagnosis of parasitic protozoa. What organism do you suspect? Based on what criteria? What, if anything, else needs to be done?

Figure A

Figure B
Images presented in the DPDx case studies are from specimens submitted for diagnosis or archiving. On rare occasions, clinical histories given may be partly fictitious.
DPDx is an educational resource designed for health professionals and laboratory scientists. For an overview including prevention, control, and treatment visit www.cy118119.com/parasites/.

