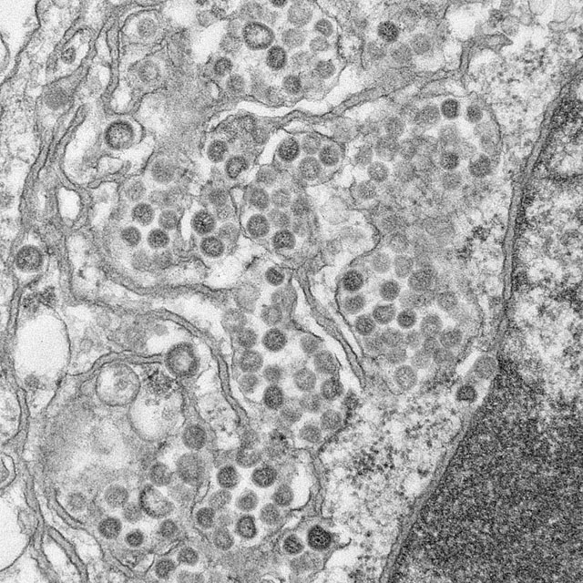
MERS-CoV Photos
MERS-CoV Photos
Coronaviruses derive their name from the fact that under electron microscopic examination, each virion is surrounded by a “corona,” or halo. This is due to the presence of viral spike peplomers emanating from each proteinaceous envelope.





