Case #503 – November, 2019
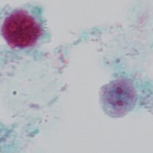
A 17-year-old male sought medical attention after three days of intermittent diarrhea, abdominal pain and loss of appetite. Routine stool examination for ova and parasite (O&P) was ordered and a fecal specimen was collected in zinc PVA (Zn-PVA). Figures A–F show what was observed on a trichrome-stained smear made from the Zn-PVA preserved stool sample. The structures of interest were detected at 1000x oil magnification and measured 6-14 µm.
What is your diagnosis? Based on what criteria?

Figure A

Figure B

Figure C

Figure D

Figure E

Figure F
Images presented in the dpdx case studies are from specimens submitted for diagnosis or archiving. On rare occasions, clinical histories given may be partly fictitious.
DPDx is an educational resource designed for health professionals and laboratory scientists. For an overview including prevention, control, and treatment visit www.cy118119.com/parasites/.