Case #495 – July, 2019
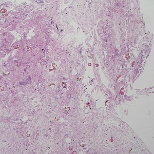
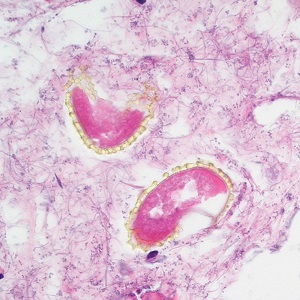
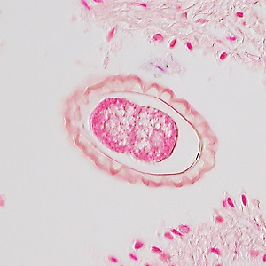
A 68-year-old female with microscopic hematuria had a cystoscopy performed. A pathologist detected objects on hematoxylin and eosin (H & E) stained slides (Figures A–E) and on Papanicolaou stained slides of urine sediment (Figures F–I). A parasitic infection was suspected and images of the objects were captured and sent to DPDx for diagnostic assistance; the objects had a size range of 75-80 micrometers. What is your diagnosis? Based on what criteria?
This case was kindly provided by the Department of Pathology, Cork University Hospital, Ireland.

Figure A

Figure B

Figure C

Figure D

Figure E

Figure F

Figure G

Figure H

Figure I

Figure J

Figure K
Images presented in the dpdx case studies are from specimens submitted for diagnosis or archiving. On rare occasions, clinical histories given may be partly fictitious.
DPDx is an educational resource designed for health professionals and laboratory scientists. For an overview including prevention, control, and treatment visit www.cy118119.com/parasites/.