Case #485 – February, 2019
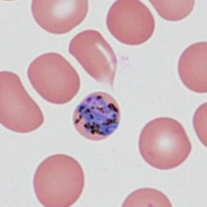
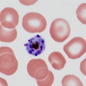
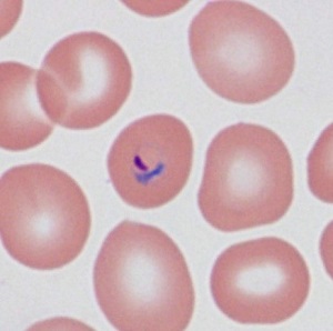
A 62-year-old man returned from visiting family in Cambodia with fever and chills. Thick and thin blood smears stained with Giemsa were prepared and examined at 1000x magnification with oil. Figures A – F show what the technician observed and sent to the DPDx Team for identification. What is your diagnosis? Based on what criteria?
This case was kindly provided by the Missouri State Public Health Laboratory.

Figure A

Figure D

Figure B

Figure E

Figure C

Figure F
Images presented in the dpdx case studies are from specimens submitted for diagnosis or archiving. On rare occasions, clinical histories given may be partly fictitious.
DPDx is an educational resource designed for health professionals and laboratory scientists. For an overview including prevention, control, and treatment visit www.cy118119.com/parasites/.