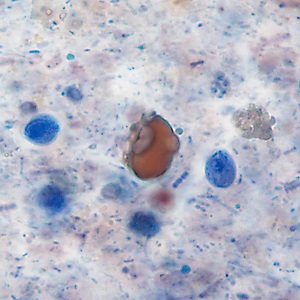
Case #483 – January, 2019
As part of a health screening for refugees, a local private diagnostic laboratory was contracted to process fecal specimens. Smears were prepared from specimens collected and preserved in PVA (polyvinyl alcohol) and stained with iron hematoxylin. Stained smears were examined at 1000x oil immersion magnification and the objects of interest shown in Figures A–C show what was observed on one smear. The objects measured 7-9 micrometers on average. What is your diagnosis? Based on what criteria?

Figure A

Figure B

Figure C
Images presented in the dpdx case studies are from specimens submitted for diagnosis or archiving. On rare occasions, clinical histories given may be partly fictitious.
DPDx is an educational resource designed for health professionals and laboratory scientists. For an overview including prevention, control, and treatment visit www.cy118119.com/parasites/.