Case #480 – November, 2018
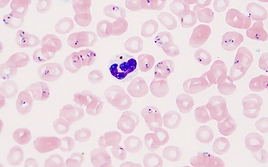
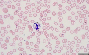
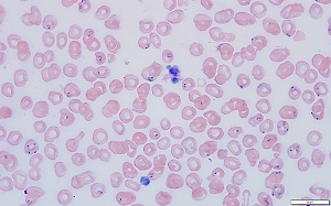
A man from New England returned from a trip to Africa with fever, chills, sweats, and fatigue. He sought medical attention from his health care provider. A blood smear was ordered, prepared, stained with Wright-Giemsa and examined. A diagnosis of Babesia was made. The slides and a blood specimen were sent to the CDC for confirmation. Figures A-D show what was observed at 1000x oil magnification on one of the stained blood smears. What is your diagnosis? Based on what criteria?

Figure A

Figure B

Figure C

Figure D
Images presented in the dpdx case studies are from specimens submitted for diagnosis or archiving. On rare occasions, clinical histories given may be partly fictitious.
DPDx is an educational resource designed for health professionals and laboratory scientists. For an overview including prevention, control, and treatment visit www.cy118119.com/parasites/.


