Case #475 – September, 2018
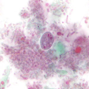
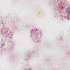
An ova-and-parasite screening was performed on a group of school-age children, which included both formalin and zinc polyvinyl alcohol (Zn-PVA) preserved stool specimens. Concentration by sedimentation was performed on the formalin preserved specimens and no helminth ova or protozoa cysts were found in any specimen. Smears were made from the PVA preserved specimens, stained with trichrome and examined. Figures A–D show what was found in one specimen. The objects of interest measured 6 micrometers long on average. What is your diagnosis? Based on what criteria?

Figure A

Figure B

Figure C

Figure D

Figure E
Images presented in the dpdx case studies are from specimens submitted for diagnosis or archiving. On rare occasions, clinical histories given may be partly fictitious.
DPDx is an educational resource designed for health professionals and laboratory scientists. For an overview including prevention, control, and treatment visit www.cy118119.com/parasites/.