Case #474 – August, 2018
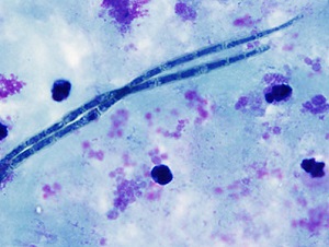
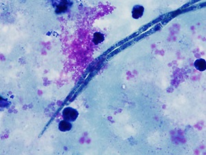
A 27 year-old male presented to his health care provider, after a 10-day work related trip to Ethiopia, with lymphadenopathy of the head and neck, intermittent fevers, and malaise. Thick and thin blood smears were ordered, stained with Giemsa, and examined. Figures A – C show what was found on a stained thick smear in very low numbers. What is your diagnosis? Based on what criteria?

Figure A

Figure B

Figure C
Images presented in the dpdx case studies are from specimens submitted for diagnosis or archiving. On rare occasions, clinical histories given may be partly fictitious.
DPDx is an educational resource designed for health professionals and laboratory scientists. For an overview including prevention, control, and treatment visit www.cy118119.com/parasites/.