Case #463 – March, 2018
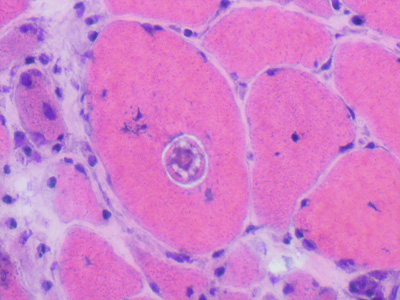
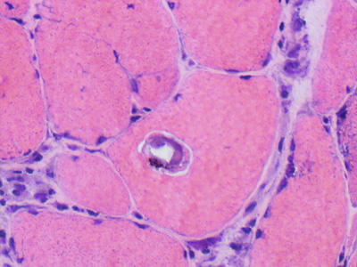
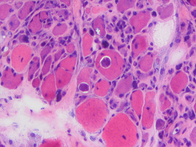
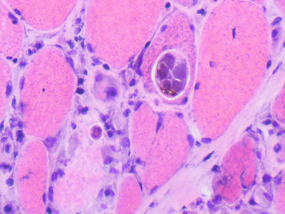
A 55 year old man from Tasmania, Australia presented with progressive general muscle weakness and myositis with 27 lb weight loss and loss of muscle mass for over two years. The patient was a keen hunter and liked to cook and eat the game he killed. He had little travel history, having previously lived in North Queensland, but no other part of Australia. A previous muscle biopsy found only chronic myopathy with inflammatory infiltrates and fibrosis. He had an elevated eosinophil count and was treated with prednisone for assumed autoimmune myositis. His condition deteriorated to the point where he was admitted to intensive care. In hospital, his serum creatine kinase (CK) was 2130 U/L, alanine aminotransferase (ALT) was 51 U/L, C-reactive protein (CRP) was 39 mg/L and erythrocyte sedimentation rate (ESR) was 45 mm/hr. The patient’s eosinophil count was 1.3 × 109/L. A second muscle biopsy was taken, and a squash prep revealed a nematode (length ~350 µm), and several were seen in cross-section of a histological section of skeletal muscle, in which the diameter could be measured (20-25 µm).
Figure A. Muscle squash preparation image courtesy of Ms. Belinda McEwan Microbiology Department, The Royal Hobart Hospital.
Histological section images courtesy of Dr. Thomas Robertson, Pathology Queensland

Figure A

Figure B

Figure C

Figure D

Figure E
Images presented in the dpdx case studies are from specimens submitted for diagnosis or archiving. On rare occasions, clinical histories given may be partly fictitious.
DPDx is an educational resource designed for health professionals and laboratory scientists. For an overview including prevention, control, and treatment visit www.cy118119.com/parasites/.