Case #460 – January, 2018
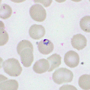
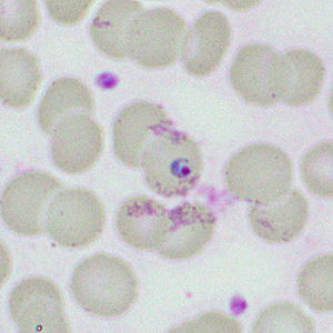
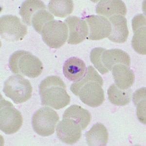
A 39 year-old man from Nigeria returned from visiting his country of birth with fever. A medical evaluation confirmed the fever and also detected low hemoglobin. A Binax-NOW rapid test for malaria showed a strong T1 band and a weak T2 band (Figure A). A blood smear was ordered and stained with Giemsa. Examination of a stained thin smear showed what is shown in Figures B–I and the parasite density was calculated to be 0.5%. What is your diagnosis? Based on what criteria?
(This case and images were kindly provided by the Cadham Provincial Public Health Laboratory, Winnipeg, MB)

Figure A

Figure B

Figure C

Figure D

Figure E

Figure F

Figure G

Figure H

Figure I
Images presented in the dpdx case studies are from specimens submitted for diagnosis or archiving. On rare occasions, clinical histories given may be partly fictitious.
DPDx is an educational resource designed for health professionals and laboratory scientists. For an overview including prevention, control, and treatment visit www.cy118119.com/parasites/.