Case #439 – March, 2017
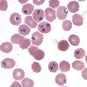
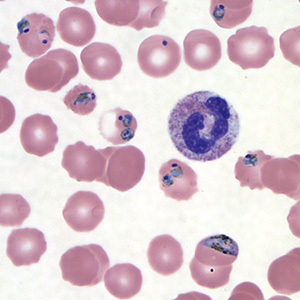
A 29-year-old male immigrant from Nigeria presented to an emergency room with fever, splenomegaly, jaundice, and neurologic changes. Blood was drawn and used for a complete blood count (CBC) and complete blood chemistries panel which revealed anemia, thrombocytopenia, hypoglycemia, mildly elevated bilirubin and lactic acidosis. Figures A and B show what was observed on a Wright-Giemsa stained thin blood smear. What is your diagnosis? Based on what criteria?

Figure A

Figure B
Images presented in the dpdx case studies are from specimens submitted for diagnosis or archiving. On rare occasions, clinical histories given may be partly fictitious.
DPDx is an educational resource designed for health professionals and laboratory scientists. For an overview including prevention, control, and treatment visit www.cy118119.com/parasites/.