Case #436 – January, 2017
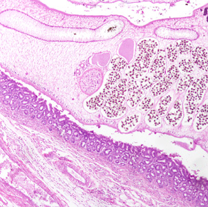
An immigrant from Korea presented with calculi in the intrahepatic biliary passages, cholangitis and early stage cholangiocarcinoma. Figures A–C show what was observed in a hematoxylin and eosin (H & E) stained liver tissue section. Figure A was captured at 40x magnification; Figures B and C at 200x magnification. The objects of interest in Figures B and C measured 30 micrometers on average. What is your diagnosis? Based on what criteria?

Figure A

Figure B

Figure C
Images presented in the dpdx case studies are from specimens submitted for diagnosis or archiving. On rare occasions, clinical histories given may be partly fictitious.
DPDx is an educational resource designed for health professionals and laboratory scientists. For an overview including prevention, control, and treatment visit www.cy118119.com/parasites/.