Case #428 – September, 2016
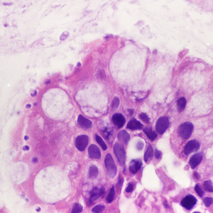
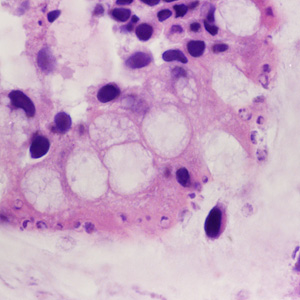
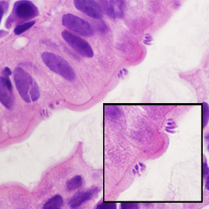
A 27-year-old male with a medical history of AIDS and recent history of opportunistic infections such as Pneumocystis jirovecii pneumonia (PCP) presented with fever, diarrhea, abdominal pain, chest pain and malaise. He had been taking antiretroviral therapy (ART) but has a history of non-compliance and therefore has had recent CD4 drop with continued high viral load so the differential diagnosis is broad given his immunosuppression. Work-up for bacteria and parasites had been negative to date. Cytomegalovirus Nucleic Acid Amplified Test (CMV NAAT) from a terminal ileum biopsy colon biopsy was found positive and the patient was started on ganciclovir. A computerized tomography (CT) chest scan findings were concerning for PCP infection and the diarrhea had not resolved. There was no evidence of colitis on colonoscopy or the CT scan. Hematoxylin and eosin (H & E) stained sections from the biopsy showed possible parasitic organisms. Images were captured at 1000x oil and sent to the DPDx Team for diagnostic assistance. Figures A–D are some of those images; Figure D has an inserted cropped area of interest for detail. What is your diagnosis? Based on what criteria?

Figure A

Figure B

Figure C

Figure D
This case and images were kindly provided by the Medical College of Wisconsin.
Images presented in the dpdx case studies are from specimens submitted for diagnosis or archiving. On rare occasions, clinical histories given may be partly fictitious.
DPDx is an educational resource designed for health professionals and laboratory scientists. For an overview including prevention, control, and treatment visit www.cy118119.com/parasites/.