Case #409 – December 2015
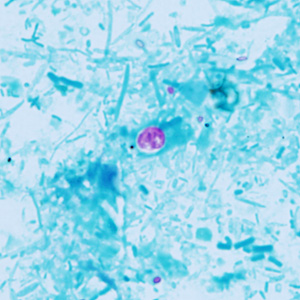
A 42-year-old dairy farmer sought medical attention for watery diarrhea, fever, and nausea that he had been experiencing for about one week. A stool specimen was collected for ova-and-parasite (O&P) work-up that included a formalin ethyl-acetate concentration. A fecal smear was prepared from the concentrate and stained with Kinyoun’s modified acid-fast stain. Figures A–E show what was observed at 1000x magnification with oil in moderately high numbers on the acid-fast stained fecal smear. The stained objects measured 5 micrometers in diameter on average. What is your diagnosis? Based on what criteria? What, if any, other tests would you recommend?

Figure A

Figure B

Figure C

Figure D

Figure E
Images presented in the DPDx case studies are from specimens submitted for diagnosis or archiving. On rare occasions, clinical histories given may be partly fictitious.
DPDx is an educational resource designed for health professionals and laboratory scientists. For an overview including prevention, control, and treatment visit www.cy118119.com/parasites/.