Case #405 – October 2015
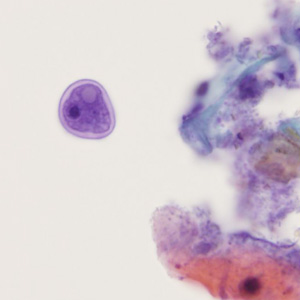
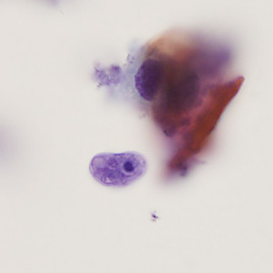
A 31-year-old male presented with recurrent anal warts first noticed the summer of 2014. The warts were biopsied and diagnosed as low grade anal intraepithelial neoplasia (AIN1) in March 2015. Other symptoms included mild discomfort with defecation. In September 2015, an anal Pap smear was performed and stained with Papanicolau. Figures A–E show what was observed by the attending pathologist. The objects of interest ranged in size from 7-15 micrometers. What is your diagnosis? Based on what criteria?

Figure A

Figure B

Figure C

Figure D

Figure E
This case and images were kindly provided by the Department of Pathology and Laboratory Medicine, New York-Presbyterian/Weill Cornell Medical Center, New York, NY.
Images presented in the DPDx case studies are from specimens submitted for diagnosis or archiving. On rare occasions, clinical histories given may be partly fictitious.
DPDx is an educational resource designed for health professionals and laboratory scientists. For an overview including prevention, control, and treatment visit www.cy118119.com/parasites/.