Case #378 August 2014
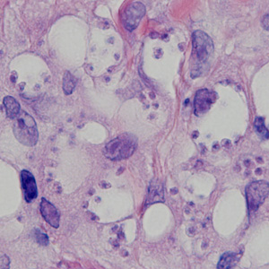
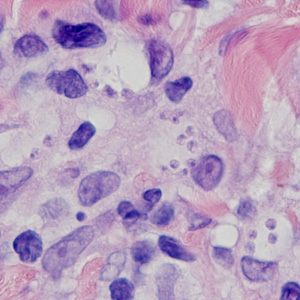
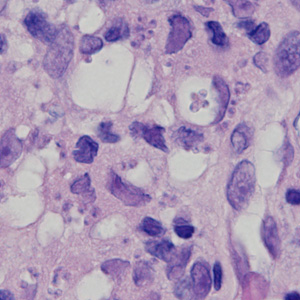
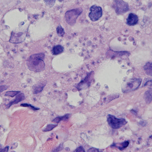
A 25-year-old female presented to a dermatologist with ulcerative lesions on her left arm and both lower legs. She had traveled to Panama three months prior. A biopsy specimen was obtained and sent to Pathology where it was sectioned and stained with hematoxylin and eosin (H&E). Figures A–D show what was observed at 1000x magnification with oil. What is your diagnosis? Based on what criteria? What, if any, other testing would you recommend?

Figure A

Figure B

Figure C

Figure D
Images presented in the DPDx case studies are from specimens submitted for diagnosis or archiving. On rare occasions, clinical histories given may be partly fictitious.
DPDx is an educational resource designed for health professionals and laboratory scientists. For an overview including prevention, control, and treatment visit www.cy118119.com/parasites/.