Case #373 – June 2014
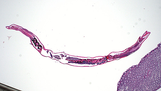
A worm-like object was observed during a routine colonoscopy screening of an adult living in Hawaii. The specimen was collected, sectioned, and stained with hematoxylin-and-eosin (H&E). Figures A-C show what was observed by the attending pathologist. Figure A was taken at 20x magnification; Figures B and C at 100x. What is your diagnosis? Based on what criteria?

Figure A

Figure B

Figure C
This case and images were kindly provided by Covenant Pathology Services, San Francisco, CA.
Images presented in the DPDx case studies are from specimens submitted for diagnosis or archiving. On rare occasions, clinical histories given may be partly fictitious.
DPDx is an educational resource designed for health professionals and laboratory scientists. For an overview including prevention, control, and treatment visit www.cy118119.com/parasites/.