Case #364 – January 2014
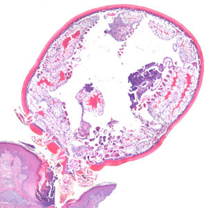
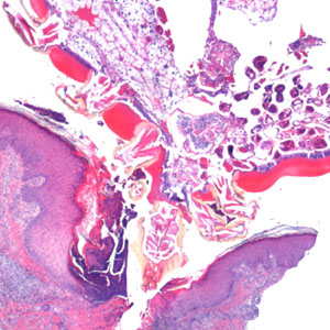
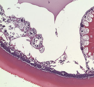
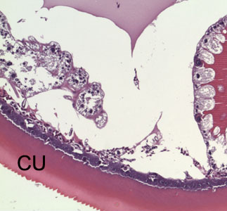
An 81-year-old man, with a previous history of basal-cell carcinoma on his upper right arm and shoulder, presented with a small protuberance in the hollow of his left knee. A biopsy specimen was collected, sectioned, and stained with hematoxylin-and-eosin (H&E). Figures A–D show what was observed by the attending pathologist. What is your diagnosis? Based on what criteria?

Figure A

Figure B

Figure C

Figure D
This case and images were kindly provided by the Laboratory for Medical Microbiology and Public Health Twente Achterhoek, Enschede, Netherlands.
Images presented in the DPDx case studies are from specimens submitted for diagnosis or archiving. On rare occasions, clinical histories given may be partly fictitious.
DPDx is an educational resource designed for health professionals and laboratory scientists. For an overview including prevention, control, and treatment visit www.cy118119.com/parasites/.

