Case #351 – July, 2013
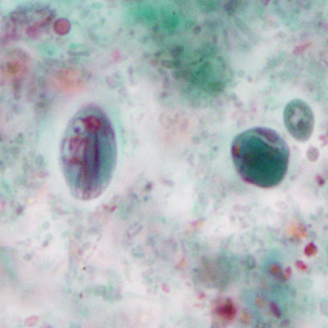
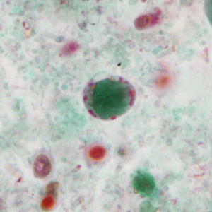
A nine-year-old child returned from summer camp in the mountains of North Carolina with complaints of abdominal pain, gas, and intermittent diarrhea. His parents took him to the family practitioner, who collected stool in Zn-PVA and 10% formalin for a routine ova-and-parasite (O&P) examination. Figures A–D show what was observed on a trichrome-stained slide made from the PVA-preserved stool. What is your diagnosis? Based on what criteria?

Figure A

Figure B

Figure C

Figure D
Images presented in the DPDx case studies are from specimens submitted for diagnosis or archiving. On rare occasions, clinical histories given may be partly fictitious.
DPDx is an educational resource designed for health professionals and laboratory scientists. For an overview including prevention, control, and treatment visit www.cy118119.com/parasites/.