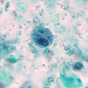
Case #327 – July, 2012
A three-year-old boy with no known international travel history was taken to his pediatrician with diarrhea and abdominal cramping. The patient was one of several children in his day care presenting with diarrhea. Stool specimens were collected in polyvinyl alcohol (PVA) and 10% formalin and sent to the State Health Lab for ova-and-parasite (O&P) examination. Figures A–D show what was observed in high numbers on a slide stained with trichrome made from the PVA-preserved stool. The objects of interest measured on average 10-13 micrometers long at their greatest length. What is your diagnosis? Based on what criteria?

Figure A

Figure B

Figure C

Figure D
Images presented in the DPDx case studies are from specimens submitted for diagnosis or archiving. On rare occasions, clinical histories given may be partly fictitious.
DPDx is an educational resource designed for health professionals and laboratory scientists. For an overview including prevention, control, and treatment visit www.cy118119.com/parasites/.