Case #312 – November, 2011
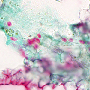
A 27-year-old patient with multiple myeloma presented with respiratory problems and disseminated lesions over various parts of his body post stem-cell transplant. Bronchial-alveolar lavage (BAL) specimens were collected and sent for pathology work-up. Figures A–D show what was observed on a slide of the BAL specimen stained with Chromotrope 2R. The objects of interest measured 4.0 micrometers in length, on average. What is your diagnosis? Based on what criteria?

Figure A

Figure B

Figure C

Figure D
This case, and the specimen from which the images were taken, were kindly provided by the National Institutes of Health, Bethesda, MD.
Images presented in the DPDx case studies are from specimens submitted for diagnosis or archiving. On rare occasions, clinical histories given may be partly fictitious.
DPDx is an educational resource designed for health professionals and laboratory scientists. For an overview including prevention, control, and treatment visit www.cy118119.com/parasites/.