Case #310 – October, 2011
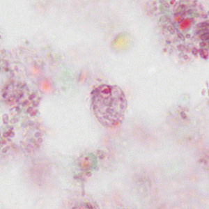
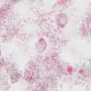
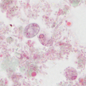
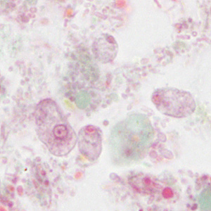
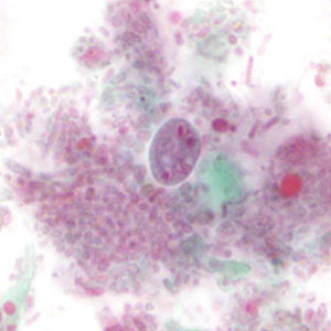
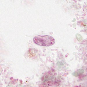
A 42-year-old photographer, who is known to travel to remote locations in tropical regions, presented to her health care provider with mild, intermittent abdominal cramping and low grade fever. A fecal specimen in polyvinyl-alcohol (PVA) was submitted for ova-and-parasite (O&P) examination. A smear was prepared and stained with trichrome. Figures A–F show what was observed at 1000x magnification. Objects of interest measured 6-8 micrometers on average. What is your diagnosis? Based on what criteria?

Figure A

Figure B

Figure C

Figure D

Figure E

Figure F
Images presented in the DPDx case studies are from specimens submitted for diagnosis or archiving. On rare occasions, clinical histories given may be partly fictitious.
DPDx is an educational resource designed for health professionals and laboratory scientists. For an overview including prevention, control, and treatment visit www.cy118119.com/parasites/.