Case #295 – March, 2011
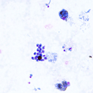
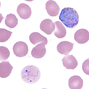
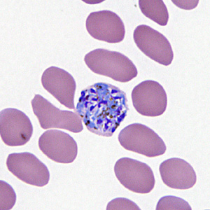
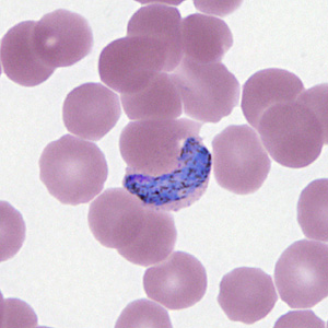
A hospital laboratory sent a tube of EDTA blood and Wright-Giemsa stained blood smears (thick and thin) to the DPDx Team for malaria confirmation/identification. No travel history was available. Figures A–C show what was observed on the thick smear; Figures D–I show what was observed on the thin smear. What is your diagnosis? Based on what criteria? What additional testing, if any, would you recommend?

Figure A

Figure B

Figure C

Figure D

Figure E

Figure F

Figure G

Figure H

Figure I
Images presented in the DPDx case studies are from specimens submitted for diagnosis or archiving. On rare occasions, clinical histories given may be partly fictitious.
DPDx is an educational resource designed for health professionals and laboratory scientists. For an overview including prevention, control, and treatment visit www.cy118119.com/parasites/.