Case #262 – October, 2009
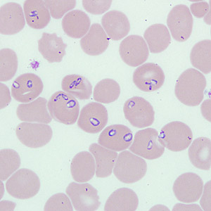
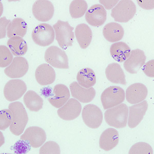
A 70-year-old man from the mid-western United States had complaints of fever and general malaise lasting for about one week. He was admitted to a hospital with evidence of hemolytic process (dark urine and low hemoglobin). He had undergone a splenectomy when he was 40 years old. Blood smears were ordered, prepared, and stained with Giemsa. Figures A and B show what was observed on the stained smears at 1000x magnification. What is your diagnosis? Based on what criteria? What other testing, if any, would you recommend?

Figure A

Figure B
Images presented in the DPDx case studies are from specimens submitted for diagnosis or archiving. On rare occasions, clinical histories given may be partly fictitious.
DPDx is an educational resource designed for health professionals and laboratory scientists. For an overview including prevention, control, and treatment visit www.cy118119.com/parasites/.