Case #247 – March, 2009
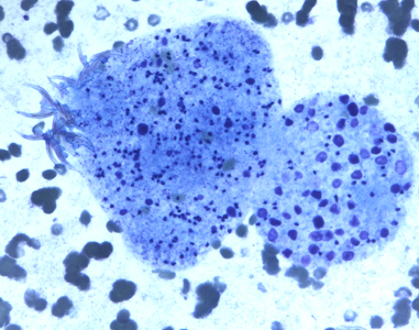
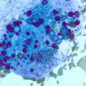
A patient, originally from Ethiopia but living in the United States for the past five years, presented to her primary care provider with complaints of abdominal pain. A computed tomography (CT) scan was performed, and cysts were observed in the liver. Serologic testing for Hepatitis B Virus, amebiasis, and echinococcosis were all negative. An aspirate from one of the cysts was drawn, and sent to a pathology laboratory for work-up. Slides made from the specimen were eventually forwarded to the CDC-DPDx for diagnostic assistance. The following images show was what observed on a Papanicolaou-stained (PAP) slide of the specimen. Figures A, B, C and E were taken at 500x magnification; Figures D and F were taken at 1000x magnification. What is your diagnosis? Based on what criteria? What other testing, if any, would you recommend?

Figure A

Figure B

Figure C

Figure D

Figure E

Figure F
This case was kindly provided by CellNetix Pathology in Seattle, WA.
Images presented in the DPDx case studies are from specimens submitted for diagnosis or archiving. On rare occasions, clinical histories given may be partly fictitious.
DPDx is an educational resource designed for health professionals and laboratory scientists. For an overview including prevention, control, and treatment visit www.cy118119.com/parasites/.