Case #228 – May, 2008
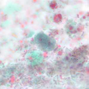
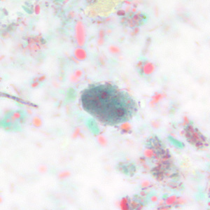
Within a week of returning from a conference in Mexico, a 28-year-old woman presented to her primary care physician with cramps, abdominal pain, gas and diarrhea. A routine Ova and Parasite (O&P) examination was performed on stool specimens. Figures A–F show objects observed on a trichrome-stained slide prepared from the stool. All images were taken at 1000x oil magnification. The objects in Figures A–C measured 12 micrometers. The objects in Figures D and E averaged 10 micrometers. The object in Figure F measured 12 micrometers in diameter. What is your diagnosis? Based on what criteria?

Figure A

Figure B

Figure C

Figure D

Figure E

Figure F
Images presented in the DPDx case studies are from specimens submitted for diagnosis or archiving. On rare occasions, clinical histories given may be partly fictitious.
DPDx is an educational resource designed for health professionals and laboratory scientists. For an overview including prevention, control, and treatment visit www.cy118119.com/parasites/.