May – 2008 – Case #227
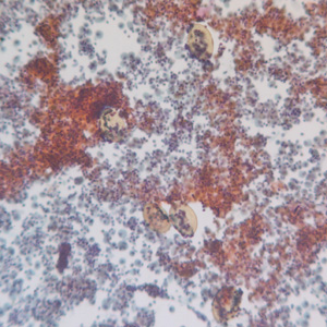
A 19-year-old male from Louisiana with no known travel history outside the United States presented to his health care provider with a one-month history of headache, fatigue, shortness of breath and weight-loss. A chest radiograph showed significant bilateral pleural effusions with an infiltrate in the left lung. Bronchial alveolar lavage (BAL) and sputum specimens were collected for complete microbiologic and pathologic work-up. Figures A and B show Papanicolaou-stained concentrates from the BAL specimens. Figure A and B were taken at 100x and 1000x oil magnification, respectively. Objects in the figures measured approximately 85-90 micrometers long by 55-60 micrometers wide. What is your diagnosis? Based on what criteria?

Figure A

Figure B
These images were kindly contributed by Dr. Gary Procop.
Images presented in the DPDx case studies are from specimens submitted for diagnosis or archiving. On rare occasions, clinical histories given may be partly fictitious.
DPDx is an educational resource designed for health professionals and laboratory scientists. For an overview including prevention, control, and treatment visit www.cy118119.com/parasites/.
