Case #223 – March, 2008
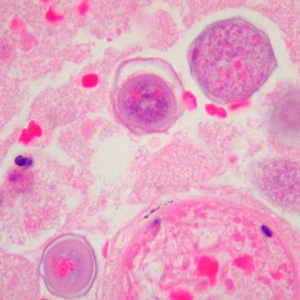
A seven-year-old, previously healthy child developed flu-like symptoms and rapidly progressive bulbar palsy, coma, and eventually death. Imaging revealed florid ventriculitis. A viral etiology was initially suspected. The autopsy revealed extensive necrotizing (mixed inflammatory, occasional giant cells, vasculitic) granulomatous encephalitis (Figures A and B), with a subependymal necroinflammatory process. Tissue sections of the brain were made and stained with hematoxylin and eosin (H&E). Images of the brain and subsequent tissue sections (Figures C and D, taken at 1000x oil magnification) were sent to DPDx for diagnostic assistance. What is your diagnosis? Based on what criteria? What further testing is recommended?




The case and the images were kindly contributed by Dr. Carlos Galliani and the Cook Children’s Hospital in Fort Worth, TX.
Images presented in the DPDx case studies are from specimens submitted for diagnosis or archiving. On rare occasions, clinical histories given may be partly fictitious.
DPDx is an educational resource designed for health professionals and laboratory scientists. For an overview including prevention, control, and treatment visit www.cy118119.com/parasites/.