Case #217 – December, 2007
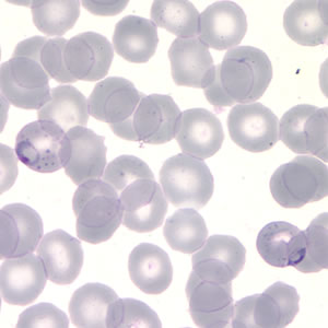
A 29-year-old man, with a history of travel to Rwanda, was seen at a local health clinic for fever, headache, mild nausea, and chills. A blood smear was prepared, stained with Giemsa, and examined at 1000× magnification. Figures A and B show what was seen on the thin blood smear. What is your diagnosis? Based on what criteria?

Figure A

Figure B
Images presented in the DPDx case studies are from specimens submitted for diagnosis or archiving. On rare occasions, clinical histories given may be partly fictitious.
DPDx is an educational resource designed for health professionals and laboratory scientists. For an overview including prevention, control, and treatment visit www.cy118119.com/parasites/.