Case #215 – November, 2007
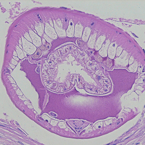
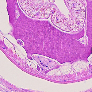
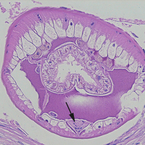
A 33-year-old Lithuanian woman had swellings in various regions of her body that developed over the last two years. She reported that she worked as a cook, and she also stated she had traveled to Kazakhstan three years ago. A biopsy was taken from a tumor over her right eye lid and was sent to a local pathology laboratory for further examination. Sections were stained with hematoxylin and eosin (H & E) stain. Figures A-D were captured from the sections and emailed to DPDx for diagnostic assistance. What is your diagnosis? Based on what criteria?

Figure A

Figure B

Figure C

Figure D
This case was kindly contributed by the Laboratory of Parasitology, National Public Health Research Center in Vilnius, Lithuania.
Images presented in the DPDx case studies are from specimens submitted for diagnosis or archiving. On rare occasions, clinical histories given may be partly fictitious.
DPDx is an educational resource designed for health professionals and laboratory scientists. For an overview including prevention, control, and treatment visit www.cy118119.com/parasites/.
Page last reviewed: August 24, 2016
Content source: Global Health, Division of Parasitic Diseases and Malaria
