Case #211 – September, 2007
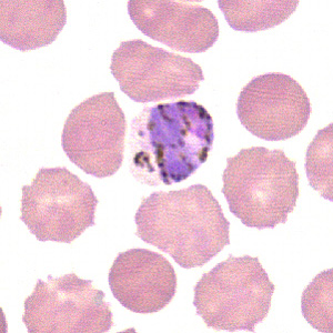
A 10-year-old boy from India was tested for malaria by blood smear examination. The commercial laboratory that reviewed the smears forwarded them, along with EDTA blood, to their state health department for consultation. Figures A and B show what was seen on the original stained slides made by the commercial laboratory. Figures C and D show what was seen on the slides made by the state health department. Figures A-D were taken by the state and sent to DPDx for diagnostic assistance. In a follow-up email, the state health department stated that the patient had been treated before the blood was obtained. A preliminary diagnosis was made by the DPDx Team which was sent to the state health department, along with a request for the stained smears and EDTA blood for possible molecular testing. Figures E and F were taken from a stained thick smear; Figures G and H were taken from a stained thin smear. Upon reviewing the smears, DPDx Team members also observed the same object that appears in Figure C. What is your diagnosis? Based on what criteria?

Figure A

Figure B

Figure C

Figure D

Figure E

Figure F

Figure G

Figure H
Images presented in the DPDx case studies are from specimens submitted for diagnosis or archiving. On rare occasions, clinical histories given may be partly fictitious.
DPDx is an educational resource designed for health professionals and laboratory scientists. For an overview including prevention, control, and treatment visit www.cy118119.com/parasites/.