Case #202 – April, 2007
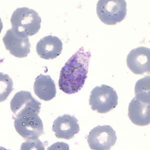
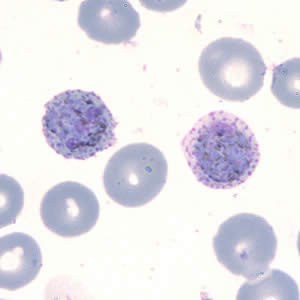
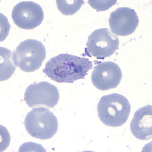
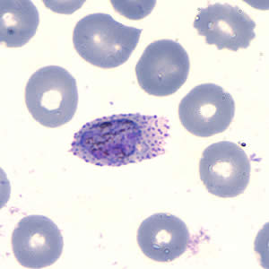
A patient was seen at a hospital in Rwanda with headache, fever, and chills. A thin blood smear was made, stained with Giemsa, and examined. Figures A-F show what was seen on the smear at 1000× magnification. What is your diagnosis? Based on what criteria?

Figure A

Figure B

Figure C

Figure D

Figure E

Figure F
Case study images were captured from reference material donated by Mme. Severina Munyeshyaka of the University Hospital in Butare, Rwanda.
Images presented in the DPDx case studies are from specimens submitted for diagnosis or archiving. On rare occasions, clinical histories given may be partly fictitious.
DPDx is an educational resource designed for health professionals and laboratory scientists. For an overview including prevention, control, and treatment visit www.cy118119.com/parasites/.